تسوس الأسنان يبدأ بصورة تدريجية من عفن بسيط نتيجة إهمال النظافة الشخصية للفم، إلى ثقب صغير وحتى ألم كبير لا ينتهي سوى بالعلاج أو الخلع، تسوس الأسنان وأسبابه متعددة ومختلفة، وجدير بالذكر أن إهمال علاجه قد يؤدي إلى مضاعفات خطيرة، هذه المشكلة الصحية منتشرة بشكل كبير بين الشباب والأطفال والمراهقين، ولكن مع التنظيف الدوري ومتابعة طبيب الأسناة بشكل مستمر قد يصبح الأمر أقل خطورة، ولأن هذه المشكلة ليست بسيطة سوف نعرض اليوم أسباب تسوس الأسنان وأعراضه وما هي العوامل التي تزيد من تفاقم الأمر، فتابعونا.

ما هي أعراض تسوس الأسنان وأسباب المختلفة؟
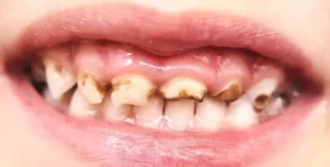
تختلف أعراض تسوس الأسنان من شخص إلى اَخر، فهو شيئ متعلق بموقع التسوس ودرجته، الأمر يبدأ بسيط بدون إحساس بأي شيء مختلف، ومع الوقت يزداد صعوبة بداية من الاَتي:
– حساسية بالأسنان، سواء من المشروبات الباردة أو الساخنة.
– اَلام محتملة وغير محتملة على حسب حالة الشخص.
– وجود ثقوب بأماكن متفرقة من الأسنان، يمكن رؤيتها بالعين المجردة.
– عدم القدرة على قضم الطعام، بسبب الإحساس بالألم والضعف.
ما هي أسباب تسوس الأسنان؟
كما ذكرنا من قبل، ان الأسباب والعوامل مختلفة وذلك من خلال الاَتي:
– تناول أطعمة ومشروبات غنية بالسكر.
– عدم الإهتمام بتنظيف الأسنان بشكل يومي.
– تكون البكتيريا بشكل كبير على الطبقة الحارجية للأسنان مما يؤدي إلى حدوث ثقوب وتسوس الأسنان.
– جفاف الفم: قلة شرب الماء وترطيب الفم باللعاب، يزيد من الإصابة بالتسوس بشكل كبير
ما هي مضاعفات الإصابة بتسوس الأسنان وعدم علاجه؟
عدم علاج تسوس الأسنان قد يؤدي إلى مضاعفات كبيرة تزيد من الألم بشكل كبير وذلك كالاَتي:
– وقوع الأسنان، ومن الممكن أن يضطر الطبيب لخلع الكثير منها بسب عدم إمكانية علاجها.
– ظهور خراج تحت الضرس أو الأسنان المصابة.
– اَلام صعبة وغير محتملة خلال تلك الفترة وحتى التشخيص والإنتهاء من العلاج.
– التهابات باللثة والأسنان بشكل كبير.
تسوس الأسنان وأسبابه قد ينتهي عند الإهتمام بنظافة الأسنان والفم وعدم جفافه، مع الإهتمام بزيارة الطبيب بصفة مستمرة وإتباع العلاج المناسب بالطرق التقليدية والطرق الحديثة، هذه المشكلة لا ينبغي بها الإهمال على الإطلاق، حتى لا يتفاقهم الأمر وزيادة الألم بشكل لا يمكن تحمله
















